To clean stains between teeth, flossing and using an interdental brush are effective methods. These tools help remove plaque and food particles lodged in the tight spaces between teeth, preventing stains from forming and improving oral hygiene.
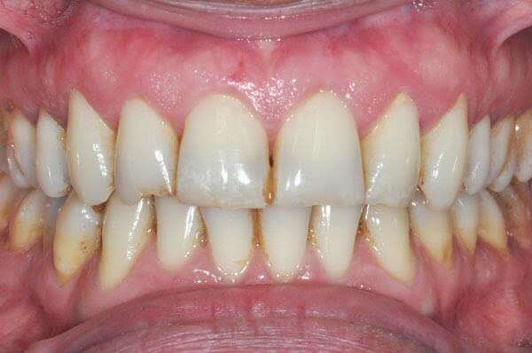
Maintaining good oral hygiene involves more than just brushing your teeth. Stains between teeth can be a common occurrence, caused by factors such as food, beverages, smoking, or poor oral hygiene habits. If left untreated, these stains can not only be aesthetically displeasing but also contribute to tooth decay and gum disease.
We will explore the most effective methods to clean stains between teeth, focusing on the use of floss and interdental brushes. By incorporating these tools into your daily oral care routine, you can achieve a brighter, healthier smile and prevent future stain formation. Letโs delve into the details of how to clean and maintain a stain-free smile.

Credit: bishopsgatedental.co.uk
Understanding Teeth Stains And Their Causes
Teeth stains can be a frustrating issue, especially when they are located between your teeth. Understanding the different types of teeth stains and their causes can help you effectively tackle this common dental problem.
Overview Of Different Types Of Teeth Stains
- Extrinsic stains: These stains occur on the outer surface of the teeth and are typically caused by external factors such as dark-colored foods and beverages, tobacco use, and poor oral hygiene.
- Intrinsic stains: Intrinsic stains develop within the tooth structure and are often a result of factors like aging, genetics, excessive fluoride use during tooth development, and certain medications.
- Tetracycline stains: These stains are a specific type of intrinsic stain that occurs due to the use of the antibiotic tetracycline during tooth development. They are usually more difficult to remove compared to other stains.
Discussion Of Common Causes Of Teeth Stains
- Food and beverages: Certain foods and drinks, such as coffee, tea, red wine, and berries, contain chromogens that can stain teeth.
- Tobacco use: Both smoking and chewing tobacco can lead to stubborn stains on teeth.
- Poor oral hygiene: Inadequate brushing and flossing allow plaque and tartar to build up, leading to discoloration.
- Aging: As we age, the outer layer of tooth enamel becomes thinner, making the yellower dentin underneath more visible.
- Medications: Some medications, such as antihistamines, antipsychotics, and high blood pressure drugs, can cause teeth stains.
- Dental trauma: Trauma to the teeth, such as falls or accidents, can result in darkening or discoloration.
Factors That Contribute To Stains Between Teeth
- Interdental plaque: Plaque and bacteria that accumulate between the teeth can result in discoloration and stains.
- Poor oral hygiene habits: Inadequate brushing and flossing leave behind food particles and plaque, increasing the likelihood of stains between teeth.
- Insufficient interdental cleaning: Ignoring the importance of interdental cleaning, such as using dental floss or interdental brushes, can contribute to stains in hard-to-reach areas.
- Consumption of staining substances: Foods and beverages known to cause teeth stains, when frequently consumed, can accumulate between teeth and lead to discoloration.
- Enamel erosion: If the protective enamel on the teeth becomes eroded, the teeth may appear yellow or brown, especially in the gaps between teeth.
By understanding the different types of teeth stains and their causes, you can take appropriate measures to prevent or remove stains between your teeth. Consistent oral hygiene practices, regular visits to the dentist, and avoiding staining substances are crucial steps in maintaining a bright and healthy smile.
Effective Home Remedies For Cleaning Stains Between Teeth
Getting rid of stains between your teeth is essential for maintaining a bright and healthy smile. While professional dental cleanings are recommended, there are also effective home remedies that can help remove these pesky stains. We will explore different techniques and natural remedies that you can easily incorporate into your oral care routine.
Letโs dive in!
Brushing Techniques To Remove Stains
- Use a soft-bristled toothbrush: The gentle bristles are effective in removing plaque and stains without causing damage to your teeth or gums.
- Brush in small circular motions: This technique allows the bristles to reach between your teeth and help break up the stains.
- Angle your brush properly: Angle the bristles towards the gumline to effectively clean the area where stains commonly occur.
- Pay attention to brushing duration: Brush for at least two minutes to ensure you thoroughly clean all surfaces of your teeth.
Using Dental Floss Properly For Stain Removal
- Choose the right type of floss: Opt for a waxed or glide floss, as it glides smoothly between your teeth without getting stuck.
- Use a proper flossing technique: Gently slide the floss between your teeth, making a โCโ shape around each tooth. Move the floss up and down to remove stains and plaque.
- Daily flossing: Be consistent with your flossing routine. Cleaning between your teeth daily helps prevent and remove stains effectively.
The Role Of Mouthwash In Stain Removal
- Use an antiseptic mouthwash: Look for a mouthwash that contains antibacterial properties to help remove stains and prevent plaque buildup.
- Rinse thoroughly after brushing and flossing: Gargle with mouthwash for about 30 seconds to reach areas that a toothbrush or floss may have missed.
- Avoid alcohol-based mouthwash: Alcohol can cause dryness in your mouth, which can lead to more stain accumulation. Opt for an alcohol-free mouthwash instead.
Natural Remedies For Cleaning Stains Between Teeth
- Baking soda and hydrogen peroxide paste: Mix a small amount of baking soda with hydrogen peroxide to form a paste. Gently rub the paste on your teeth using a toothbrush or your finger, focusing on areas with stains. Rinse thoroughly afterward.
- Apple cider vinegar rinse: Dilute apple cider vinegar with water and swish it around your mouth for about 30 seconds. Due to its acidity, limit this remedy to once a week to prevent damage to your tooth enamel.
- Coconut oil pulling: Swish a tablespoon of coconut oil in your mouth for 10-15 minutes before spitting it out. This practice can help remove stains and promote overall oral health.
Remember, while these home remedies can help remove stains between your teeth, itโs important to maintain good oral hygiene practices such as regular brushing, flossing, and professional dental cleanings. With consistency and the right techniques, you can achieve a radiant smile that youโre proud of.
Professional Treatment Options For Stubborn Stains
Professional teeth cleaning procedures can effectively remove stubborn stains that may be difficult to get rid of with regular brushing and flossing alone. These treatments are performed by dental professionals who have the expertise and tools to tackle even the most stubborn stains.
Here are some professional treatment options for stubborn stains on your teeth:
- Ultrasonic scaling: This procedure involves using a vibrating instrument that breaks up and removes plaque, tartar, and stains from your teeth. It is highly effective in removing surface stains and can help restore the natural whiteness of your teeth.
- Air polishing: This treatment uses a high-powered jet of water, air, and fine abrasive particles to remove stains and polish your teeth. It is great for removing stubborn stains caused by coffee, tea, tobacco, and certain medications.
- Professional teeth whitening: This is a popular treatment option for stained teeth. It involves the use of high-concentration bleaching agents that can lighten the color of your teeth and remove deep stains. Professional teeth whitening treatments are usually performed in-office by a dentist and can provide dramatic results.
The benefits and limitations of teeth whitening treatments:
- Teeth whitening treatments are highly effective at removing stains and discoloration from your teeth, giving you a brighter smile.
- However, itโs important to note that teeth whitening treatments may not be suitable for everyone. They may not be effective on certain types of stains, such as those caused by antibiotics like tetracycline. Additionally, teeth whitening treatments may cause temporary tooth sensitivity or gum irritation.
Cosmetic dentistry options for severe stains:
- For severe stains that cannot be effectively treated with professional teeth cleaning or teeth whitening alone, cosmetic dentistry options may be recommended. These options include:
- Dental veneers: Veneers are thin shells made of porcelain or composite material that are bonded to the front surface of your teeth. They can cover up severe stains and give you a bright, white smile.
- Dental crowns: Crowns are tooth-shaped caps that are placed over severely stained or damaged teeth. They can provide both cosmetic improvement and functional restoration.
When to consult a dentist for stubborn stains:
- If you have stubborn stains on your teeth that do not respond to regular brushing and flossing, it may be time to consult a dentist. A dental professional will assess the severity of your stains and recommend the most appropriate treatment options for you.
Professional treatment options for stubborn stains include ultrasonic scaling, air polishing, and professional teeth whitening. For severe stains, cosmetic dentistry options such as dental veneers or crowns may be recommended. If you are struggling with stubborn stains that do not improve with regular oral hygiene practices, it is important to consult a dentist for guidance.
Frequently Asked Questions Of How To Clean Stains Between Teeth
Why Am I Getting Brown Stains Between My Teeth?
Brown stains between your teeth may be caused by various factors, such as smoking, poor oral hygiene, or certain foods and drinks.
How Do You Get Rid Of Stains In The Middle Of Your Teeth?
To remove stains from the middle of your teeth, try professional teeth whitening or natural remedies like baking soda.
Can I Scrape Stains Off My Teeth?
Yes, you can remove stains from your teeth by scraping them off.
Can You Whiten Stains Between Teeth?
Yes, stains between teeth can be whitened using various dental procedures and treatments.
Conclusion
Overall, cleaning stains between teeth is an essential part of maintaining good oral hygiene and a bright smile. By implementing the tips and techniques mentioned in this blog post, you can effectively remove and prevent stubborn stains. Remember to brush and floss daily, use mouthwash, and incorporate natural remedies like baking soda or hydrogen peroxide in your oral care routine.
Regular dental check-ups and professional cleanings are also vital for removing plaque and tartar buildup. Additionally, adopting healthy lifestyle habits such as reducing your intake of staining foods and beverages can help prevent new stains from forming. With consistent effort and dedication, you can achieve a clean and healthy smile that you can confidently show off.
So start implementing these practices today and enjoy the benefits of a bright and stain-free smile.
As an Amazon Associate, Cleanestor earns from qualifying purchases at no additional cost to you.